Cavities are among the most common dental problems worldwide, yet many people don’t fully understand what causes them—or how preventable they actually are. Tooth decay doesn’t happen overnight. It’s the result of a combination of everyday habits, food choices, and oral hygiene practices. By understanding the true causes of cavities, you can take steps to protect your smile and maintain long-term oral health. Let’s take a closer look at what’s really eating away at your teeth.
Contents
- 1 1. The Role of Plaque and Bacteria
- 2 2. Sugary Foods (and Drinks) Are a Major Culprit
- 3 3. Frequent Snacking Makes Things Worse
- 4 4. Poor Oral Hygiene Speeds Up Decay
- 5 5. Dry Mouth: A Silent Contributor
- 6 6. Deep Grooves and Misaligned Teeth Trap Food
- 7 7. Acidic Foods and Drinks Erode Enamel
- 8 8. Genetics Also Play a Role
- 9 Prevention: Your Best Defense Against Cavities
- 10 Protect Your Smile Today
1. The Role of Plaque and Bacteria
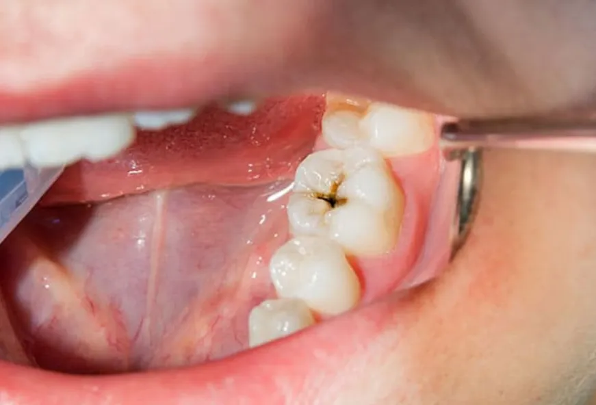
At the heart of tooth decay is plaque—a sticky, colorless film of bacteria that constantly forms on your teeth. These bacteria feed on the sugars and starches you consume. When they break down these carbohydrates, they produce acids that erode tooth enamel, the hard, protective outer layer of your teeth.
Over time, repeated acid attacks weaken enamel, creating tiny holes. These openings are the beginnings of cavities. If left untreated, the decay continues to progress deeper into the tooth, eventually affecting the dentin and pulp.
2. Sugary Foods (and Drinks) Are a Major Culprit
It’s no surprise that sugar contributes to cavities, but how it works is important to understand. Sugar itself doesn’t cause decay—bacteria do. But sugar fuels those bacteria, giving them exactly what they need to produce cavity-causing acids.
The worst offenders include:
- Sticky candies that cling to your teeth
- Sugary beverages like soda and energy drinks
- Sweetened cereals and baked goods
- Flavored coffees and teas
Even natural sugars found in fruit juices can contribute to decay if consumed frequently.
3. Frequent Snacking Makes Things Worse
It’s not just what you eat—it’s how often you eat it. Every time you snack, you feed the bacteria in your mouth. This triggers another acid attack on your enamel.
When you snack frequently throughout the day, your teeth don’t get a break to recover. This leaves enamel constantly under stress, increasing the likelihood of cavity development. Instead, stick to regular meals and choose tooth-friendly snacks like cheese, nuts, or crunchy vegetables.
4. Poor Oral Hygiene Speeds Up Decay
Brushing twice a day and flossing daily are more than just good habits—they’re essential for removing plaque before it hardens into tartar. Tartar can only be removed by a dental professional, and once it forms, it creates an ideal breeding ground for bacteria.
Skipping brushing or not flossing allows plaque to build up, accelerating the decay process. Additionally, brushing too quickly or without proper technique may leave harmful bacteria behind.
5. Dry Mouth: A Silent Contributor
Your saliva plays a powerful role in preventing cavities. It helps rinse away food particles, neutralize acids, and strengthen your enamel with minerals like calcium and phosphate.
If you experience dry mouth—whether due to medications, dehydration, or certain health conditions—you have a higher risk for cavities. Without enough saliva, your teeth are more vulnerable to acid attacks and decay.
It is important to stay hydrated and discuss any symptoms with your dentist during your regular health checkups. According to this experienced cosmetic dentist in Redwood City CA, they can recommend specific saliva substitutes or fluoride treatments to help protect your teeth from the increased threat of decay that comes with reduced moisture.
6. Deep Grooves and Misaligned Teeth Trap Food
The natural shape of your teeth can also contribute to cavities. Molars often have deep pits and grooves that trap food and bacteria, making them harder to clean. Crooked or crowded teeth also create tight spaces where plaque can accumulate.
In these cases, sealants, orthodontic treatment, or more frequent cleanings may help reduce the risk of decay.
7. Acidic Foods and Drinks Erode Enamel
Acidic items like citrus fruits, vinegar-based foods, and carbonated beverages soften enamel, making it more vulnerable to cavity-causing bacteria. If you frequently consume these items, your enamel may wear down faster than it can repair itself.
To reduce the impact, rinse your mouth with water after consuming acidic foods and avoid brushing immediately—your enamel needs time to reharden.
8. Genetics Also Play a Role
While lifestyle and habits are the biggest contributors, genetics can influence:
- Enamel strength
- Tooth shape
- Saliva production
- Oral bacteria levels
If cavities tend to run in your family, it may mean you need to be even more proactive about your oral hygiene.
Prevention: Your Best Defense Against Cavities
Fortunately, cavities are largely preventable. Here’s what you can do:
- Brush with fluoride toothpaste at least twice daily
- Floss every day
- Limit sugary and acidic foods
- Drink plenty of water
- Visit your dentist regularly for cleanings and checkups
- Consider fluoride treatments or sealants if recommended
These small choices add up to big protection for your teeth.
Protect Your Smile Today
Understanding what causes cavities is the first step toward preventing them. With the right habits, regular dental care, and awareness of your personal risk factors, you can keep decay at bay and enjoy a healthier smile. And if you’re exploring restorative options like dental implants in Winchester VA, or simply looking to keep your natural teeth healthy for as long as possible, staying informed is your best defense.
Zack Hart
Hey there! I’m Zack Hart, the pun-dedicated brain behind PunsClick.
Based in Alaska, I built this site for everyone who believes a well-placed pun can brighten a dull day.
Whether you’re into clever wordplay or cringe-worthy dad jokes, you’ll find your fix here. We’re all about bringing the world closer — one pun at a time.
